| Caso 1 |
|
| Paciente |
Niña de 2 meses de edad con hidrocefalia |
| Paradigma |
ACTIVADO: Presentación de la voz de la madre, pregrabada, en la que usa palabras familiares
DESACTIVADO: Nada. Paciente sedado con hidrato de cloral |
| Estadísticas |
| Método estadístico |
Valor P |
Puntuación Z |
| Prueba T |
0,0007 |
3,4 |
|
| Imagen |
 |
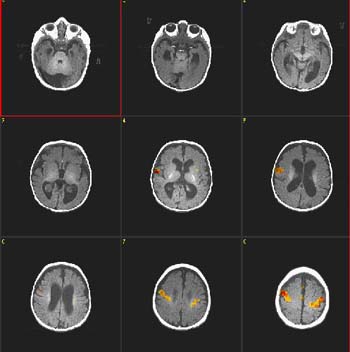
| Activación |
Se observa activación bilateral de las circunvoluciones precentrales y la circunvolución temporal superior derecha. La activación de la corteza motora ocurre en el nivel de la representación oral-facial. Se supone que esto está relacionado con el acostumbramiento-desacostumbramiento a la succión de amplitud alta en respuesta a estímulos lingüísticos. Esta respuesta es de gran importancia en la preservación de nuestra especie. |
| |
|
| Caso 2 |
|
| Paciente |
Niño de 18 meses de edad con parálisis cerebral leve. |
| Paradigma |
ACTIVADO: Presentación de la voz de la madre, pregrabada, en la que usa palabras y sonidos familiares
DESACTIVADO: Nada. Paciente sedado con propofol |
| Estadísticas |
| Método estadístico |
Valor P |
Puntuación Z |
| Prueba T |
0,0005 |
3,2 |
|
| Imagen |
 |
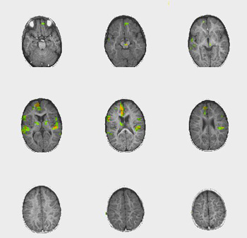
| Activación |
La activación de las áreas auditivas está bien definida. Se observa activación bitalámica. No se comprende claramente la fuerte activación del lóbulo frontal parasagital derecho. |
| |
|
| Caso 3 |
|
| Paciente |
Niño de 4 años de edad con autismo
|
| Paradigma |
ACTIVADO: Presentación de luces intermitentes a 8 Hz, con gafas especiales colocadas
DESACTIVADO: Nada. Paciente sedado con nembutal |
| Estadísticas |
| Método estadístico |
Valor P |
Puntuación Z |
| Prueba T |
0,000002 |
4,0 |
|
| Imagen |
 |
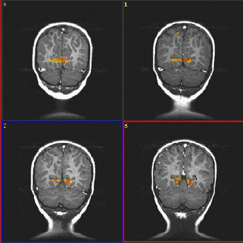
| Activación |
Cortes coronales. Las áreas coloreadas en la figura se obtuvieron restando ACTIVADO a DESACTIVADO. Por consiguiente, el resultado muestra "desactivación", lo que representa la hiperextracción de oxígeno en las áreas visuales primarias (V1). Este hallazgo aparece constantemente en niños pequeños, ya sea despiertos o bajo sedación. |
| |
|
| Caso 4 |
|
| Paciente |
Niño normal de 18 meses de edad
|
Paradigma
n.° 1: |
ACTIVADO: Presentación de la voz de la madre, pregrabada, en la que usa palabras familiares
DESACTIVADO: Nada. Paciente sedado con hidrato de cloral |
| Estadísticas |
| Método estadístico |
Valor P |
Puntuación Z |
| Prueba T |
0,0005 |
3,2 |
|
| Gráfico de curso del tiempo |
Seis tiempos a partir de DESACTIVADO
 |
| Imagen |
 |
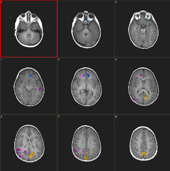
| Activación |
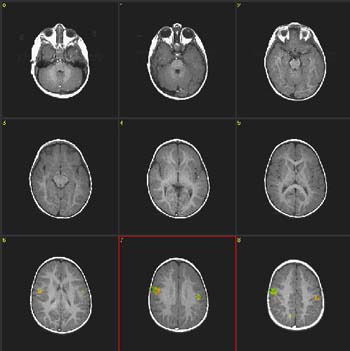
Se observa una activación bilateral en las caras parasagitales de los lóbulos frontales, que es mayor en el lado derecho. El área auditiva primaria está activada en el lado izquierdo. También hay activación dispersa en el lóbulo parietal derecho. Se observa activación bilateral en el cúneo y precúneo del lado izquierdo. |
| |
|
Paradigma
n.° 2: |
ACTIVADO: Presentación de luces intermitentes a 8 Hz
DESACTIVADO: Nada. Paciente sedado con hidrato de cloral |
| Estadísticas |
| Método estadístico |
Valor P |
Puntuación Z |
| Prueba T |
0,0005 |
3,3 |
|
| Imagen |
ACTIVADO-DESACTIVADO

DESACTIVADO-ACTIVADO
|
| Activación |
Hay activación bilateral de la corteza motora y "desactivación" de la región anterolateral de la fisura calcarina (periférico V1) como se observa en el caso n.° 3. La ubicación de esta respuesta es previsible, debido a que el tipo de estímulo usado aquí causa mayor activación de la retina periférica que de la fóvea. La activación de las áreas motoras a través de estímulos visuales es similar a la obtenida con la voz de la madre en el caso n.° 1. |
| |
|