Casos clínicos

Caso 1 | Caso 2 | Caso 3 | Caso 4

Volver al menú principal de IRMf

 

 

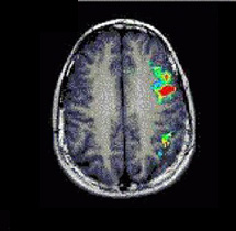
Caso 1  
Paciente Paciente de sexo femenino de 19 años de edad.   Demostración prequirúrgica de áreas elocuentes
Paradigma Fluidez fonética
ACTIVADO: Generación en silencio de palabras que comienzan con una letra dada
DESACTIVADO: No pensar en nada
Resultados Activación de las circunvoluciones frontales izquierdas medias e inferiores, corteza izquierda precentral, circunvoluciones angulares izquierdas y áreas dispersas en los lóbulos parietales.
Comentarios El área principal activada en esta tarea de fluidez fonética es la cara superior de la circunvolución frontal inferior izquierda.   En cambio, el área principal de activación en las tareas que requieren generación de verbos es la cara inferior del área de Broca, junto con la ínsula anterior.
Imagen
   
 
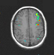
Caso 2  
Paciente Paciente de sexo masculino de 13 años de edad.  Mapeo prequirúrgico de áreas elocuentes.
Paradigma Fluidez fonética
ACTIVADO: Generación en silencio de palabras que comienzan con una letra dada
DESACTIVADO: No pensar en nada
Resultados Fuerte activación en las circunvoluciones frontales inferiores y medias izquierdas, y el surco postcentral izquierdo.   No se observó ninguna activación significativa en el  hemisferio derecho.
Imagen
   
 
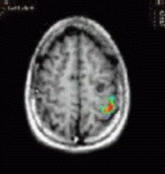
Caso 3  
Paciente Paciente de sexo masculino de 14 años de edad, con convulsiones
Paradigma Tarea de dar golpecitos
ACTIVADO: Dar golpecitos con los dedos de forma alternada con la mano derecha
DESACTIVADO: No pensar en nada
Resultados La corteza del surco central izquierdo mostró una fuerte activación.  Las imágenes muestran claramente la relación con el tumor.
Comentarios El tumor se extirpó sin déficit motor postoperatorio.
Imagen
   
 
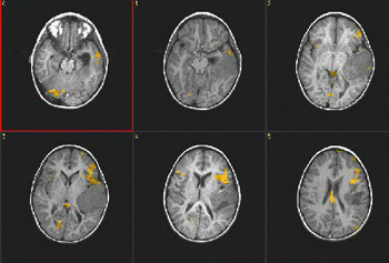
Caso 4  
Paciente Paciente de sexo masculino de 9 años de edad  con una lesión neoplásica en la fisura silviana izquierda.  Sin déficit del lenguaje
Paradigma Tarea de fluidez verbal
ACTIVADO: Pensar en acciones relacionadas con los sustantivos dados
DESACTIVADO: No pensar en nada
Resultados Predominio obvio del lenguaje del lado izquierdo.  El área de Broca está bien definida junto con la circunvolución frontal superior izquierda.  Se ha descrito la asociación de la activación del cerebelo derecho con las tareas relacionadas con el lenguaje expresivo.
Imagen

volver al principio

 

Un caso de acalculia.