La historia de éxito de Haley


Leer Anterior Leer Próximo

Noticias Relacionadas

Paciente del mes: Naomi

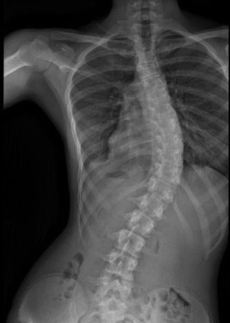
junio 30, 2025 – Diagnosticada con escoliosis a los seis años, Naomi ha estado luchando duro para evitar que su columna vertebral se curve aún más. Después de años de probar varias opciones de tratamiento, y con la pubertad causando una mayor progresión de la curva, Naomi y su familia buscaron otras opciones de tratamiento. Fue en Nicklaus Children’s Instituto de Ortopedia, Medicina Deportiva y la Columna Vertebral donde Naomi y su familia encontraron consuelo y esperanza.

La jornada de Natalie con escoliosis

diciembre 17, 2024

Natalie fue diagnosticada con escoliosis de inicio temprano a los 19 meses y se sometió a años de tratamiento, que incluyeron yesos, aparatos ortopédicos y tres cirugías, bajo el cuidado del Dr. Stephen G. George. A los 12 años, después de su última cirugía para corregir su columna vertebral, completó su jornada de tratamiento de 10 años y está lista para seguir adelante.


Perfeccionamiento de la cirugía ortopédica pediátrica con precisión y cuidado

noviembre 05, 2024 – La práctica de la cirugía ortopédica pediátrica exige no solo habilidades quirúrgicas excepcionales, sino también un entorno que fomente la innovación, la precisión y una atención de los pacientes que tome en cuenta a las familias. El nuevo centro quirúrgico Kenneth C. Griffin Surgical Tower de Nicklaus Children's Hospital es un testimonio de este compromiso, que ofrece una experiencia quirúrgica integral diseñada para los casos más complejos de cirugía pediátrica.

Innovaciones que impulsan el cuidado de la columna en pediatría

enero 09, 2024 – Asegurar el crecimiento saludable de su hijo mientras busca atención para una malformación congénita, escoliosis, tumor o afección de la columna vertebral requiere una perspectiva experimentada. El Centro de Trastornos de Columna de Nicklaus Children’s, que forma parte del Instituto de Ortopedia, Medicina del Deporte y Columna, ha liderado nuevos tratamientos y técnicas, y ha desarrollado pautas de mejores prácticas para estos trastornos singulares.